ГОЛОВНА   >>  ЕНДОВАСКУЛЯРНЕ ЛІКУВАННЯ ЛЕЙОМІОМИ МАТКИ

Що таке ендоваскулярна хірургія

Ендоваскулярне лікування ішемічної хвороби серця

Ендоваскулярне лікування аневризми аорти

Ендоваскулярне лікування атеросклерозу артерій нижніх кінцівок

Ендоваскулярне лікування вазоренальної (ниркової) гіпертонії

Ендоваскулярне лікування лейоміоми (фіброміоми) матки

Ендоваскулярне лікування варикоцеле

Ендоваскулярне лікування варикозу вен тазу

Ендоваскулярне лікування ангіодисплазій

ЩО ТАКЕ ФІБРОМІОМА МАТКИ

    Фіброміома (лейоміома) матки - найпоширеніше з новоутворень жіночої статевої сфери. Існує кілька назв цього захворювання. Найчастіше вживаються такі: матковий фіброїд, лейоміома, міома, фіброміома. Це доброякісне утворення, яке розвивається в м'язовій стінці матки. Хоча фіброміома часто не має симптомів, розмір і розташування міоматозних вузлів у деяких жінок можуть спричиняти серйозні страждання, зокрема біль і сильну кровотечу.
    Точні причини розвитку фіброміоми матки на сьогодні залишаються неясними, однак багато дослідників пов'язують її з генетичною схильністю та підвищеною гормональною чутливістю. Жінки можуть мати спадкову схильність до розвитку фіброміоми, однак захворювання виникає за наявності патогенних зовнішніх чинників (штучне переривання вагітності, вживання гормональних препаратів). Це з великою ймовірністю пояснює, чому деякі етнічні або расові групи мають підвищену схильність до розвитку фіброміоми, а також пояснює тенденцію до спадковості хвороби в окремих родинах.
    Фіброматозні вузли значно варіюються за розміром — від зовсім маленьких (менше сантиметра) до величезних — 20–30 см і більше. У деяких випадках зростання фіброміоми спричиняє збільшення матки до розмірів 5-місячної вагітності — така жінка справді виглядає вагітною. У більшості випадків наявні кілька фіброматозних вузлів.
вузли міоми
    Вузли можуть розташовуватись у різних шарах стінки матки. Виділяють три основні типи:
    Субсерозні вузли розвиваються під зовнішньою оболонкою стінки матки й ростуть назовні, надаючи матці вузлуватої форми. Як правило, вони не порушують менструальний цикл, але можуть спричиняти біль у ділянці таза, спини та тиснути на прилеглі органи (кишківник, сечовий міхур, тазові судини), що викликає порушення їхньої функції. Субсерозна фіброміома може мати ніжку, через що її важко відрізнити від яєчника. Точний діагноз у таких пацієнток неможливий без застосування томографічного чи магнітно-резонансного дослідження.
    Інтрамуральні вузли розвиваються в глибині м’язової стінки матки й ростуть усередину, викликаючи збільшення розмірів матки. Це можна діагностувати під час внутрішнього гінекологічного обстеження. Цей тип фіброміоми матки є найпоширенішим. Інтрамуральні вузли можуть спричиняти рясні маткові кровотечі, проявлятися тазовими болями, болем у хребті, відчуттям загального тиску на внутрішні органи. Такі симптоми спостерігаються у більшості жінок із фіброміомою матки.
    Субмукозні вузли розвиваються всередині порожнини матки, під її слизовою оболонкою. Це найменш поширений тип фіброміоми матки, однак він має найтяжчий перебіг. Навіть дуже маленький субмукозний вузол може стати причиною небезпечної для життя кровотечі.

ПОШИРЕНІСТЬ ТА СИМПТОМАТИКА

    Лейоміома матки - одне з найчастіших захворювань жіночої статевої сфери. 30-45% усіх жінок має лейоміому матки, причому більшість пацієнток перебуває в найбільш зрілому, активному віці - 30-40 років. Останнім часом відзначається тенденція до «омолодження» міоми, непоодинокими є випадки діагностики цього захворювання у жінок юного і молодого віку. У жінок, які відкладають вагітність «на потім», після досягнення певних життєвих цілей, ймовірність виникнення цього захворювання значно зростає. Деякі фахівці образно називають міому «хворобою невикористаних можливостей» або «хворобою жіночого кар'єризму».
Незважаючи на таку поширеність захворювання, більшість жінок з лейоміомою не відчувають дискомфорту і часто навіть не підозрюють про своє захворювання. Лише у 10-30% таких жінок міома проявляє себе, порушуючи якість життя.
Найпоширеніші симптоми міоми матки:
   - рясні менструальні кровотечі, зі згустками, що можуть призвести до анемії;
  - міжменструальні кровотечі (більш характерні для субмукозних міом), що бувають небезпечними для життя;
  - болі, пов'язані зі здавленням збільшеною маткою сусідніх органів;
  - порушення сечовипускання або дефекації, аж до імперативних позивів;
  - біль під час статевого акту (диспареунія);
  - порушення менструального циклу (нерегулярні часті менструації, затримка циклу);
  - зміна форми живота (характерна для субсерозних міом великого розміру);
  - порушення дітородної функції (неможливість завагітніти, викидні, завмерлі вагітності).
    Неможливість завагітніти або виносити дитину пов'язана не тільки з механічною перешкодою вузла заплідненню або прикріпленню зародка. Велику роль у цьому відіграє так званий «синдром обкрадання плода»: у зв'язку з підвищеним споживанням крові вузлами відбувається переспрямування маткового кровотоку до вузлів міоми, в той час як плід залишається обділеним, що призводить або до його загибелі, або до вад його розвитку.
    Здавлення сусідніх органів збільшеною маткою нерідко протікає безсимптомно, проте може спричинити важкі ускладнення: гідронефроз, тромбоз вен нижніх кінцівок, радикулоневрити.

ДІАГНОСТИКА ЛЕЙОМІОМИ МАТКИ

     Як правило, лейоміому первинно виявляють на огляді гінеколога. Діагноз підтверджується за допомогою ультразвукового дослідження.
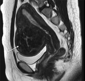
МРТ міоми
МРТ: вузол міоми на передній стінці матки
Це - безболісна процедура, що дає змогу фахівцям "бачити" розмір, форму, структуру матки, розташування вузлів та кровоток в них. У деяких випадках може бути необхідним трансвагінальне ультразвукове дослідження. У цьому разі датчик вводиться в піхву, що дає змогу чіткіше побачити внутрішню частину матки. Невеликий дискомфорт, пов'язаний із цією процедурою, окупається її високою інформативністю.
     Лейоміома матки також може бути підтверджена за допомогою комп'ютерної томографії (КТ) і магнітно-резонансного дослідження (МРТ). Це також безболісні діагностичні процедури, що дають точну інформацію про кількість, структуру і розташування вузлів міоми.
Гістероскопія - діагностичний метод, що дає змогу підтвердити наявність невеликих субмукозних вузлів, погано помітних за допомогою вищезазначених методів. Довгий, тонкий інструмент, що нагадує зонд, вводять через піхву і шийку в матку, після чого лікар може оглянути внутрішню поверхню матки і взяти зразки тканини. Цю процедуру, що спричиняє певний дискомфорт, виконує гінеколог в умовах поліклініки або стаціонару під місцевим знеболенням.

ЛІКУВАННЯ ЛЕЙОМІОМИ МАТКИ

    Вибір найкращого методу лікування міоми матки - процес суто індивідуальний, залежний від багатьох чинників. Наведена тут інформація не може бути визначальною для вибору тієї чи іншої методики, останнє слово в кожному конкретному випадку залишається за лікарем.
    Динамічне спостереження. Невеликі субсерозні або інтрамуральні вузли часто ніяк не турбують і виявляються випадково на профоглядах. У цьому разі можливо обмежитися періодичними лікарськими оглядами не рідше, ніж раз на півроку, без будь-якого додаткового лікування.
    Медикаментозне лікування як самостійний метод застосовують у разі невеликих субсерозних або інтрамуральних вузлів, які ростуть, з метою перешкоджання їхньому зростанню, і полягає в призначенні різних гормональних препаратів. Найефективнішими зарекомендували себе так звані агоністи гонадотропін-рилізинг гормону (а-ГнРГ, скорочена сленгова назва «агоністи») - гозерелін, трипторелін, лейпрорелін, бусерелін тощо. Ці препарати спричиняють різке зниження рівня естрогену, що призводить до так званого «штучного клімаксу», при цьому розміри вузлів міоми значно знижуються. Однак тривале застосування цих препаратів неможливе у зв'язку з виникненням виражених побічних ефектів, пов'язаних з нестачею естрогену - вегетативні, психічні порушення, зниження лібідо, остеопороз. Скасування ж цих препаратів веде до швидкого відновлення розмірів вузлів і стимуляції їхнього подальшого зростання. Тому консервативне лікування симптомної фіброміоми матки як самостійний метод нині має другорядне значення і застосовується як передопераційна підготовка або післяопераційне ведення.

ХІРУРГІЧНЕ ЛІКУВАННЯ ЛЕЙОМІОМИ МАТКИ

  Хірургічне лікування є найбільш ефективною методикою лікування симптомної міоми матки. Усе розмаїття хірургічних методів лікування можна розділити на кілька типів:
    Гістеректомія, видалення матки.
    Найстаріший метод, що дає змогу радикально позбутися міоми. На жаль, незважаючи на розвиток інших, менш руйнівних методик, видалення матки є найбільш поширеною методикою. Більш ніж третина жінок США до 60 років позбулися матки, причому переважна кількість цих операцій виконана саме з приводу лейоміоми матки. Гістеректомія може виконуватися як традиційним, відкритим доступом, так і лапароскопічно, або через піхву. Це втручання виконується під загальним наркозом і пов'язане з усіма ускладненнями, характерними для хірургічних операцій. Існують методики видалення матки зі збереженням яєчників і шийки матки, що дають змогу зменшити негативний вплив на організм жінки гормонального дисбалансу, який неминуче виникає після видалення такого гормонально активного органу, як матка.
Ставлення до матки як до «пристрою для народження дітей», якого можна безболісно позбутися після виконання дітородних обов'язків, нині кардинально змінюється. Доведено роль матки в складних обмінних функціях організму, підтримці природної фізіологічної рівноваги. Втрата цього органу неминуче веде до прискорення процесу старіння, розвитку атеросклерозу за чоловічим типом, зниження лібідо, задоволення від статевого життя. Саме тому в гінекології намітилася тенденція максимального органозбереження, згідно з якою повне видалення матки може бути обґрунтованим тільки в разі доведених злоякісних пухлин, або неефективності/неможливості інших, ощадніших методик.

    Видалення вузлів, консервативна міомектомія. Більш ощадна методика, що передбачає висічення або вилущування вузлів зі збереженням самої матки. Може виконуватися як традиційним, відкритим доступом, так і лапароскопічно (субсерозні вузли) або гістероскопічно (субмукозні вузли). Незважаючи на високу ефективність, методика має певні обмеження. Так, деякі варіанти розташування вузлів (задня стінка, шийка матки) роблять міомектомію неможливою або небезпечною в сенсі перетворення її на гістеректомію. Крім того, майже у 30% жінок, які перенесли міомектомію, виникає рецидив пухлини. Це пов'язано з наявністю непомічених дрібних вузлів, а також пошкодженням під час операції здорових м'язових клітин, що саме по собі є пусковим фактором для розвитку міоми. Для рецидиву міоми матки після міомектомії характерна наявність множинних дрібних вузлів, що унеможливлюють повторну органозберігаючу операцію.

    ФУЗ-абляція (FUS – Focused Ultrasound Surgery, або HIFU – High Intensity Focused Ultrasound)
    Сутність методики - руйнування вузла міоми сфокусованим ультразвуком (ФУЗ). Втручання виконується під МРТ-контролем. Пацієнтку опромінюють ультразвуком, сфокусованим у точці розташування вузла міоми, внаслідок чого він нагрівається до температури руйнування клітин. Послідовно змінюючи розташування фокуса під контролем МРТ, можна викликати теплову деструкцію більшої частини вузла. До переваг методики можна віднести неінвазивність - жодних розрізів і проколів. До недоліків насамперед належить неможливість впливу на всі клітини міоми; на межі вузла завжди залишаються неушкоджені температурою клітини, з яких можуть розвинутися нові вузли. Недостатня точність фокусування може призвести до теплового пошкодження навколишніх тканин (крижі, кишківник, сечовий міхур). Для виконання процедури необхідне тривале, до 4 годин, збереження нерухомості у вимушеній позі. Крім того, методика ФУЗ-абляції не показана пацієнткам із множинними (понад 5) вузлами, розташуванням вузла на задній стінці матки, наявністю рубців на животі.

ЕМБОЛІЗАЦІЯ МАТКОВИХ АРТЕРІЙ (ЕМА) ПРИ ЛЕЙОМІОМІ МАТКИ

    Правильна медична назва цього методу — ендоваскулярна оклюзія маткових артерій. Суть методики в припиненні кровопостачання вузлів міоми шляхом блокування кровотоку в артеріях, які постачають кров до вузлів міоми. В результаті вузли дегенерують, зменшуючись в розмірах. Припиняються або істотно зменшуються аномальні кровотечі та симптоми здавлення оточуючих органів. Це мінімально інвазивна процедура, малоболісна, не потребує пошкодження шкіри (окрім проколу голкою) і виконується без загального наркозу.
    Емболізація маткових артерій проводиться в лікарні ендоваскулярним хірургом (рентгенохірургом, інтервенційним радіологом — різні назви однієї спеціальності) — кваліфікованим фахівцем, який виконує цю та інші мінімально інвазивні процедури.
UFE
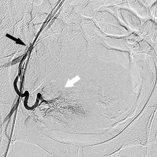
    Ендоваскулярний хірург робить прокол шкіри голкою в паховій складці або руці та, потрапивши в артерію, вводить туди тонку (1,5–2 мм), спеціально зігнуту трубку — катетер. Оскільки процедура малоболісна, використовується лише місцева анестезія, яку доповнюють препаратами для легкого медикаментозного сну. Хірург під рентгенівським контролем проводить катетер артеріями до матки — спеціальна апаратура дозволяє стежити за переміщенням катетера всередині тіла. Катетер по черзі підводиться до правої та лівої маткової артерії. Далі виконується артеріограма — введення в маткову артерію спеціальної контрастної речовини, видимої під рентгеном, що дозволяє "побачити" фіброміому і підтвердити правильне розташування катетера.
міома матки до емболізації    міома матки до емболізації
Права маткова артерія:
чорна стрілка - катетер, білі стрілки -
розширені артерії вузла
   Ліва маткова артерія:
чорна стрілка - катетер, білі стрілки -
розширені артерії вузла

    Після цього ендоваскулярний хірург вводить у катетер пластикові частки - емболи. Ці частинки розносяться кровотоком, і, застрягаючи в артеріях відповідного діаметра, закупорюють їх. Розмір частинок (близько 0,5 мм) спеціально підібраний таким чином, щоб вони по току крові потрапляли саме в розширені внутрішньовузлові артерії, залишаючи неушкодженими інші, менші за діаметром незмінені артеріальні гілочки. Емболізація триває до повної блокади всіх гілок, які постачають кров до вузлів, це добре видно на повторних ангіограмах.
міома матки після емболізації    міома матки після емболізації
Катетер у правій матковій артерії
(чорна стрілка), вузлові артерії
не контрастуються
   Катетер у лівій матковій артерії
(чорна стрілка), вузлові артерії
не контрастуються

    Прокол шкіри, через який вводився катетер, оброблюють та закривають стерильною компресійною пов’язкою на 12 годин. У результаті обмеження кровопостачання пухлина (або пухлини) починає зменшуватись у розмірах. Емболізація маткових артерій зазвичай потребує перебування в лікарні протягом 1-3 діб. Після процедури необхідний постільний режим протягом 6–8 годин. У післяопераційний період призначаються знеболювальні препарати для боротьби з больовим синдромом, який з тією чи іншою інтенсивністю виникає в усіх пацієнток. Крім того, можливе підвищення температури. У такому випадку додатково призначаються протизапальні засоби. Повне відновлення зазвичай займає близько 2 тижнів, однак цей термін може мінятися залежно від розміру та кількості вузлів.
    Хоча емболізація як метод лікування фіброміоми матки у світі застосовується лише з 1995 року, сама процедура емболізації маткових артерій зовсім не нова. Вона успішно використовується ендоваскулярними хірургами у всьому світі понад 20 років для боротьби з післяпологовими кровотечами та деякими іншими патологіями. Нині емболізація фіброміоми матки рутинно виконується ендоваскулярними хірургами в усіх розвинених країнах.

РЕЗУЛЬТАТИ ЕМА ПРИ ЛЕЙОМІОМІ МАТКИ

    Тканина міоми надзвичайно чутлива до рясного кровопостачання, тому її знекровлення в результаті ЕМА визиває часткове відмирання «неправильних» м’язових клітин, з яких складається вузол. Цей процес виникає безпосередньо після закінчення ЕМА і може супроводжуватися болями, які приходиться полегшувати наркотичними та ненаркотичними знеболюючими засобами. В подальшому ділянки некрозу виводяться з організму у вигляді виділень та/або через нирки з сечею. Тому гострий період (1-3 доби після ЕМА) може супроводжуватися болями, підвищенням температури та нестандартними виділеннями. В цей час бажано знаходитися в стаціонарі для знеболюючої, протизапальної та антимікробної терапії.
    В підгострий період (2-4 тижні після ЕМА) ці процеси продовжуються, але менш інтенсивно. Тому необхідність в госпіталізації відпадає, хоча вдома треба продовжувати призначену антимікробну терапію, по показанням – знеболюючі та протизапальні препарати, обмежити переохолодження, фізичну та соціальну активність. В подальшому запалення припиняється, але процес деструкції вузла продовжується ще 6-12 місяців: вузлові м’язові клітини, що вижили, в умовах створеної в результаті ЕМА хронічної недостатності кровопостачання поступово замінюються менш «вибагливими» клітинами сполученої (рубцьової) тканини. Оскільки такі клітини менше м’язових, розміри вузлів також зменшуються, вузли стають більш щільними, кровоток в них стає мінімальним, тобто умови для кровотеч також зводяться до мінімуму. При тому звичайні, незмінені м’язові клітини стінки матки залишаються недоторканими, їх функція не порушується.
    Таким чином, в результаті емболізації маткових артерій, вузол міоми не «випаровується», а значно зменшується за рахунок втрати відмерших клітин і заміщення м’язової тканини рубцем. Подальший ріст такого вузла стає неможливим.

ПОКАЗАННЯ ДО ЕМБОЛІЗАЦІЇ МАТКОВИХ АРТЕРІЙ

    Емболізація маткових артерій показана пацієнткам з лейоміомою матки в наступних випадках:
    - множинні вузли, коли міомектомія не показана;
    - вузли «незручних» для хірургів локалізацій: перешийок, задня стінка тощо, коли велика вірогідність переходу видалення вузла у видалення матки;
    - повторний ріст вузлів після їх хірургічного видалення;
    - стан пацієнтки унеможливлює хірургічне втручання (низький гемоглобін, супутні захворювання, множинні спайки тощо);
    - гострі кровотечі, у тому числі такі, що виникли після призначення антикоагулянтної або антитромботичної терапії;
    - бажання пацієнтки використати саме таку лікувальну методику.
Тобто, емболізація маткових артерій є альтернативою видаленню матки, коли інші органозберігаючі методики неможливі або не показані.

ЕМА - МІФИ ТА ЛЕГЕНДИ

     За майже 30-річний (з 1997 р) досвід виконання емболізації маткових артерій прийшлося вислухати багато хибних тверджень стосовно цієї методики. Ось найбільш часті (буде доповнюватися):
    Емболізація маткових артерій - експериментальна методика, наслідки якої досконало не вивчені. Емболізація маткових артерій для зупинки маткових кровотеч вперше застосована в 1979 році, а саме для лікування міоми - в 1995. Ефективність ЕМА доказана багатьма дослідженнями, ця методика включена в більшість національних протоколів лікування лейоміоми.
    Після емболізації неможливо народжувати. Існує багато досліджень, доводячих, що вірогідність народження дитини у жінок з міомою після ЕМА дорівнює такій вірогідності після міомектомії. Тим не менш, у більшості протоколів для жінок з міомою, що планують дітей в першу чергу розглядають міомектомію, а ЕМА виконують, якщо хірургічне видалення вузла неможливе або небезпечне видаленням матки.
    Якщо є міома, краще видалити матку, оскільки може розвинутися злоякісня пухлина. Доведено, що вірогідність виникнення злоякісної пухлини матки при наявності міоми або при її відсутності не відрізняється. Тому доцільність видалення матки тільки при наявності міоми рівноцінна доцільності видалення пальця, на якому з'явилася бородавка.




стентування
У відділі ендоваскулярної хірургії Національного наукового центру хірургії та трансплантології ім. О.О. Шалімова емболізацію маткових артерій виконували з середини 89-х років минулого століття, а в 1997 році ця методика вперше в східноєвропейському регіоні була застосована саме для лікування міоми матки.      Відтоді проведено близько 6000 таких втручань, результати лікування були багаторазово опубліковані та представлені на вітчизняних та зарубіжних конференціях. Неухильне прогресування технологій виготовлення емболізатів, вдосконалення техніки катетеризації за останні роки призвели до значного розширення показань до таких втручань, дали змогу поліпшити результати лікування і знизити кількість ускладнень і рецидивів.      Досвід, накопичений українськими фахівцями, дає змогу рекомендувати ендоваскулярну методику лікування лейоміоми матки всім, перед ким стоїть проблема вибору методу лікування цього захворювання.
Запис на консультацію з приводу ендоваскулярного лікування облітеруючого атеросклерозу по тел. (044) 4542065 моб/Viber/Telegram/WhatsApp +38 0679594362